女子患流感5天不摘隐形眼镜近乎融化 医生:严重会造成永久性视力损伤
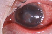
快科技1月6日消息,福建卫生报报道,不久前,福建宁德36岁的张女士(化名)在患上流感后,连续五天没有摘取隐形眼镜,最终导致双眼突发性失明。经医院诊断,张女士同时患上巨乳头性结膜炎和急性病毒性结膜炎,眼内镜片表面破损粘连、近乎融化。医生紧急取出隐形眼镜并启动抗感染治疗。

女子患流感5天不摘隐形眼镜近乎融化 医生:严重会造成永久性视力损伤
医生指出,长时间佩戴隐形眼镜本身就会造成角膜缺氧,镜片上沉积的蛋白质和细菌也容易引发炎症。流感期间人体免疫力下降,眼部防御能力随之减弱,此时若不规范佩戴,无异于“雪上加霜”,极易导致干眼、角膜损伤甚至感染,严重时可造成永久性视力损害。
专家提醒,隐形眼镜佩戴者本就是眼部感染的高危人群,流感期间风险更高。如出现发热、咳嗽等症状,应立即停戴,避免病毒通过镜片侵袭眼睛。
即便未感染流感,也应严格遵循佩戴规范:每日佩戴不超过8小时,禁止过夜佩戴;定期更换护理液和镜盒;佩戴前彻底清洁双手。此外,患有过敏性结膜炎等眼部疾病者,应减少佩戴频率,以降低炎症复发风险。
如果在流感期间出现眼红、眼痒、分泌物增多或视力模糊等不适,切勿自行用药,应及时到正规医院眼科就诊。只有早发现、早治疗,才能避免小问题发展为影响视力的严重隐患。

女子患流感5天不摘隐形眼镜近乎融化 医生:严重会造成永久性视力损伤
【本文结束】出处:快科技
版权声明
本文仅代表作者观点,不代表本站立场。
本文转载自网络,如有侵权,请联系删除。
他说网