这种常见蔬菜吃多了 居然会引发严重急性肾损伤!
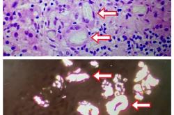
动画片《大力水手》中的主人公波佩在吃了菠菜之后,身体就会变得力大无穷。日常生活中,菠菜因富含各种维生素及营养物质,味道鲜美,受到很多人的喜爱。可是菠菜并不适合所有人,摄入过量还可能会产生不良后果。...
zhiyongz
2025-09-24 11:32:34阅读:3
动画片《大力水手》中的主人公波佩在吃了菠菜之后,身体就会变得力大无穷。日常生活中,菠菜因富含各种维生素及营养物质,味道鲜美,受到很多人的喜爱。可是菠菜并不适合所有人,摄入过量还可能会产生不良后果。...