他说网

展开菜单

DeepSeek成了硅谷最大的“不能说的秘密”

DeepSeek成了硅谷最大的“不能说的秘密”
在旧金山,正在运行着一个中国模型,“这可能是硅谷最大的‘不能说的秘密’。”与帕迪·科斯格雷夫(Paddy Cosgrave)刚见面,他就一面展示着他上一秒在DeepSeek上询问的问题一面解释,那些压根不做AI的公司,全在跑DeepSeek的本地化版本。“既然有它,谁还愿意掏钱去用OpenAI或Anthropic?”DeepSeek成了硅谷最大的“不能说的秘密”帕迪·科斯格雷夫帕迪·科斯格雷夫是Web Summit(全球网络峰会)的CEO兼创始人,Web Summit是欧洲最...

《南京照相馆》票房破30亿 已有8400万人次观看

《南京照相馆》票房破30亿 已有8400万人次观看
快科技9月23日消息,据猫眼专业版数据显示,电影《南京照相馆》上映61天,总票房破30亿,这也是中国影史第25部30亿票房电影。此前,2025年暑期档电影票房以119亿收官,《南京照相馆》以29亿元票房夺冠。7月25日上映的《南京照相馆》,实现票房与口碑的双爆发,豆瓣评分稳定在8.7分,好于97%的历史片。作为一部聚焦历史题材的作品,《南京照相馆》由申奥执导,刘昊然、王传君领衔主演,影片以细腻的叙事和深刻的情感内核打动观众,进而带动观影人次持续攀升。影片以1930年代南京一家...

长城V6火炮上市,22.98万元起!配备3.0T V6发动机、前后桥差速锁!

长城V6火炮上市,22.98万元起!配备3.0T V6发动机、前后桥差速锁!
快科技9月23日消息,今日晚间,长城汽车的赛级皮卡——长城V6火炮正式上市,售价22.98万元。长城汽车官方给出了包括置换礼1.5万元,老友礼5000元,享受3次免费保养,2年0息,还有赛事补贴在内等福利。3.0T V6发动机、前后桥差速锁!长城V6火炮上市:22.98万元据了解,V6火炮是一款赛级皮卡,今年6月V6火炮夺得了环塔拉力赛T2.1量产燃油组六冠王。新车核心亮点是搭载3.0T V6双涡轮增压发动机,最大功率360马力,配备分时四驱系统,匹配前后桥差速锁,越野和赛事...

小米澎湃秒充协议全面免费开放:所有车企、配件厂商均可量产120W有线/80W无线

小米澎湃秒充协议全面免费开放:所有车企、配件厂商均可量产120W有线/80W无线
快科技9月23日消息,小米手机官方最新宣布,小米澎湃秒充协议向行业全面免费开放。面向所有车企、终端厂商、全行业配件厂商开放,可量产最高120W有线、80W无线充电模组及配件。小米澎湃秒充协议全面免费开放:所有车企、配件厂商均可量产120W有线/80W无线开放协议之后,可以有更多的汽车、充电器等接入进来,兼容覆盖面更广,提升快充体验。小米手机称:“我们始终认为,高速而安全的快充体验,不应只是品牌的‘独享特权’。能够让更多汽车厂商、三方配件伙伴,一起共荣快充生态才对用户最好的选择...

湖南、浙江、东方等五大卫视4K超高清频道来了:9月28日开播

湖南、浙江、东方等五大卫视4K超高清频道来了:9月28日开播
快科技9月24日消息,今年以来,已经有3个超高清电视频道开播,北京卫视于3月28日率先上线超高清频道,广东卫视、深圳卫视于6月28日同步开播。据报道,湖南卫视、东方卫视、江苏卫视、浙江卫视、山东卫视超高清频道将于9月28日开播。湖南、浙江、东方等五大卫视4K超高清频道来了:9月28日开播浙江卫视在官微中介绍,相比于常规高清频道,4K超高清频道将在五大维度上实现全方位突破:-分辨率从1920*1080升级为3840*2160,是高清的4倍-帧率从25帧升级为50帧,能够捕捉复杂...

92岁高龄游本昌出演短剧 《济公之冒牌降龙》发布海报

92岁高龄游本昌出演短剧 《济公之冒牌降龙》发布海报
     快科技9月24日消息,昨日,92岁的“济公”扮演者游本昌发了一则视频,他表示自己将和红果短剧一起筹备制作微短剧济公。他还晒出了新作品的海报,名字叫《济公之冒牌降龙》。游本昌表示,自己不仅会参演该短剧,还会结合数字人技术,还原游本昌青年时期的“济公”形象。游本昌认为,作为这种新兴的艺术形式,短剧它更加精巧,节奏轻快。他说道:“今天人们的生活,各种事物的压力都填满了,生活压力大,短剧用简短明快的节奏剧情给他们的生活增添了一抹亮色。”...

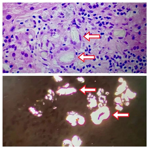
这种常见蔬菜吃多了 居然会引发严重急性肾损伤!

这种常见蔬菜吃多了 居然会引发严重急性肾损伤!
动画片《大力水手》中的主人公波佩在吃了菠菜之后,身体就会变得力大无穷。日常生活中,菠菜因富含各种维生素及营养物质,味道鲜美,受到很多人的喜爱。可是菠菜并不适合所有人,摄入过量还可能会产生不良后果。无力犯困、拉肚子 查出严重急性肾损伤一周前,老陈(化名)隐隐觉得人没啥力气,干活也没什么劲还特别容易犯困,同时还闹起了肚子,每天腹泻 4~5 次。老伴觉得不太正常就拉他去了当地医院,抽血一检查直接吓一大跳,血肌酐 430μmol/L,腹部 CT...

国产x86处理器重大突破!某总医院采购6000多台兆芯

国产x86处理器重大突破!某总医院采购6000多台兆芯
近日,国产x86处理器龙头企业兆芯公布喜报,在医疗行业取得重大突破,超过6000台医用台式机成功中标某总医院通用PC采购项目!国产x86处理器重大突破!某总医院采购6000多台兆芯近年来,医疗行业信息化转型进入实战阶段。根据规划,截止2025年底,医院核心信息系统的升级转型比例要大幅提升,而且医疗行业的信息化转型对底层算力平台的要求不仅是性能强,更要“好用”和“易用”。医疗行业最为显著的特点,就是生态碎片化。以数据库为例,医院HIS(医院信息系统)、LIS(实验室信息系统)、...

不是苹果机就是安卓机吗 简单科普笔记本都是什么机

不是苹果机就是安卓机吗 简单科普笔记本都是什么机
最近网络上出现了关于“安卓机、苹果机”的讨论,非常有意思。一些小伙伴简单的认为,现在的“机”,不是苹果机就是安卓机。当然这种想法肯定是不全面的,今天咱们就浅浅的聊一聊,笔记本电脑都是什么机。提前说明一下,以下内容不是特别严谨,资深的数码高手们简单看一下就行,小白朋友可以了解一下。苹果机、安卓机,这两个名字的出发点是手机,毕竟目前大多数的智能手机,不是苹果的iPhone,就是百花齐放的安卓手机。当然,除了以上两者还有搭载自研鸿蒙系统的华为手机。不过笔记本的情况与手机就有很明显的...

称吹冷风伤身!欧洲热死人了 但还是开不起空调:电费贵、普及率低、认知愚昧

称吹冷风伤身!欧洲热死人了 但还是开不起空调:电费贵、普及率低、认知愚昧
快科技9月24日消息,据国外媒体报道称,一项22日发表在国际学术期刊《自然-医学》上的新研究显示,受气候变化影响,近年来欧洲夏季的高温天气每年都与数万人的死亡相关。据估计,2024年夏季高温相关死亡人数最多的国家为意大利,超过1.9万人;其次是西班牙,超过6700人;再次是德国、希腊和罗马尼亚。研究人员表示,欧洲大陆的变暖速度约是全球平均水平的两倍,因此急需加强气候变化适应策略,包括开发新一代高温健康预警系统等。除了上述原因外,还跟欧洲人对空调态度有关。面对愈发严峻和趋于常态...

全球首个!2000伏特光伏实证认证基地落地海南

全球首个!2000伏特光伏实证认证基地落地海南
快科技9月24日消息,据媒体报道,在中国质量认证中心等单位联合主办的“光伏实证认证暨2000伏特光伏技术创新研讨会”上,全球首个2000伏特光伏实证认证基地在文昌市正式揭牌。该基地由大唐海南能源开发有限公司建设并运营,具备全周期数据采集与系统化性能评估能力,标志着我国在高电压等级光伏实证领域取得重要突破。目前,光伏产业正处在高质量转型的关键阶段,2000伏特等高电压技术的推广应用仍面临统一标准体系缺失的挑战。作为未来大型地面电站的重要发展方向,2000伏特系统相较于传统150...

福建舰上的弹射起步 可能比我们想的还猛

福建舰上的弹射起步 可能比我们想的还猛
我只能说,全网的军迷又双叒过年了。就在昨天,新华社发了一条“朴实无华”的视频,朴实的点在于,全程原声大碟,没有一点BGM。福建舰上的弹射起步 可能比我们想的还猛但大伙看完才知道,真正顶级的视频不需要配乐。刚在咱阅兵式里亮过相的三幻神——歼-35、歼-15T、空警-600,居然在视频里排着队。。弹射起飞了??福建舰上的弹射起步 可能比我们想的还猛大伙都见过开车能弹射,真没见过飞机还会弹射起步的。不仅如此,就连降落也稳得离谱,看完就一个感觉,这么短的跑道,停得这么自如,咱家啥时候...

曝20周年iPhone采用三星全新OLED屏:更薄更亮

曝20周年iPhone采用三星全新OLED屏:更薄更亮
快科技9月24日消息,据报道,苹果公司将在20周年纪念版iPhone中采用三星制造的COE OLED屏幕,其亮度更高、更薄。在传统的OLED面板中,显示屏上方会放置一层偏光片,以减少反光并提高对比度,但这层偏光片存在一个缺陷:它会吸收OLED自身发出的部分光线,从而降低屏幕亮度和显示效率。借助COE(彩色滤光片集成封装)技术,苹果公司将移除偏光片,并将彩色滤光片直接应用于OLED的封装层。这一设计将使显示屏的堆叠结构更薄,允许更多光线穿透,从而在不增加功耗的前提下实现更高的亮...

蔡磊妻子称蔡磊的近况“很不好了” 开始流口水 整个人都很痛苦

蔡磊妻子称蔡磊的近况“很不好了” 开始流口水 整个人都很痛苦
快科技9月24日消息,据媒体报道,日前,渐冻症抗争者蔡磊的妻子段睿在一档采访中透露,蔡磊目前状态“很不好了”,他现在已经是蛮痛苦的状态了。段睿表示,蔡磊语言能力已经完全没有了,半年前还是可以的,现在已经说不了一点点了,手包括胳膊早已经不能动了,腿也没有办法自己站立了,颈部无法活动,并且开始有点流口水,表情肌不行了。目前,蔡磊还能吃流食,再后面蔡磊可能会进行胃造瘘。据了解,蔡磊是原任职京东集团财务副总裁,也是“互联网+财税”联盟会长、中国电子发票的推动者。他在2019年确诊渐冻...